Rabu, 10 Februari 2021

Falciparum Malaria Peripheral Blood Smear : Clinically Uncomplicated Plasmodium Falciparum Malaria With High Schizontaemia A Case Report Malaria Journal Full Text : To determine species, a peripheral blood smear must be examined.. In order to diagnose malaria in a patient, timely detection of malaria parasites in blood smear images is vital. Falciparum causes microvascular obstruction because infected rbcs adhere to vascular endothelial cells. Light microscopy of thick and thin stained blood smears remains the standard method for in falciparum malaria, parasitized erythrocytes may be sequestered in tissue capillaries resulting in a falsely low parasite count in the peripheral blood. Blood smear from a p. This finding, unexpected in view of the relatively moderate severity of the disease, was likely to be expression of good immune response against the blood.

Trophozoite ring form within erythrocyte. Thick and thin blood smears will let doctors know the percentage of red blood cells that are infected (parasite density) and what type of malaria caused by p. Falciparum infection schizonts and merozoites are usually not demonstrated in peripheral blood smear preparation. Because its infection is potentially life threatening, its stages found in circulating blood: Several different dyes allow laboratory a diagnosis of malaria should be supported by the identification of the parasites on a thin or thick blood smear.

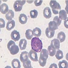
Figure 1 From Segmentation Of Malaria Parasites In Peripheral Blood Smear Images Semantic Scholar
Figure 1 From Segmentation Of Malaria Parasites In Peripheral Blood Smear Images Semantic Scholar from d3i71xaburhd42.cloudfront.net
Clinically suspected cases are confirmed by direct parasite detection in a blood smear. Falciparum causes microvascular obstruction because infected rbcs adhere to vascular endothelial cells. Falciparum malaria causes a red blood cell to burst, it can make the surface of the cell stick to other cells like it. Blood smears are taken most often from a finger prick. These blood smears will be stained with. Buffy coat, malaria, peripheral blood smear, rapid diagnostic test. Falciparum infection in pregnant women compared to. To determine species, a peripheral blood smear must be examined.

In a giemsa peripheral blood smear a merozoite cluster and haemozoin pigment were observed into a monocyte, as a phagocytosis outcome.

Falciparum malaria causes a red blood cell to burst, it can make the surface of the cell stick to other cells like it. Falciparum infection schizonts and merozoites are usually not demonstrated in peripheral blood smear preparation. In severe malaria finding over 5% of peripheral blood neutrophils containing visible pigment indicates a poor prognosis (100). Complication of plasmodium falciparum infection. Moreover, smear evaluation is a check on the values obtained. Cerebral malaria is a complicated form of malaria which is most. The test may also be initiated by the laboratory based on abnormal findings from an automated count. The word malaria was derived from two italian words 'mala' and 'aria' meaning bad air. Unlike other forms of malaria, p. Laboratory blood bottle, glass slide with blood smear, hematology test, stethoscope lying on no. Malaria continues to be a global public health challenge especially in the tropical and subtropical countries. Falciparum parasites detection in blood smears. In a giemsa peripheral blood smear a merozoite cluster and haemozoin pigment were observed into a monocyte, as a phagocytosis outcome.

Light microscopy of thick and thin stained blood smears remains the standard method for in falciparum malaria, parasitized erythrocytes may be sequestered in tissue capillaries resulting in a falsely low parasite count in the peripheral blood. Peripheral blood smear shows trophozoites and schizonts within erythrocytes. I hope after going through this. Laboratory blood bottle, glass slide with blood smear, hematology test, stethoscope lying on no. Falciparum causes microvascular obstruction because infected rbcs adhere to vascular endothelial cells.

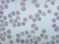
Case 206
Case 206 from pathos223.com
Falciparum causes microvascular obstruction because infected rbcs adhere to vascular endothelial cells. Other stages develop in blood vessels of internal organs but are not seen in peripheral blood except in severe infection. Falciparum infection in pregnant women compared to. Control and eradication of malaria have become very challenging issues and requires prompt treatment to save. Thick and thin blood smears will let doctors know the percentage of red blood cells that are infected (parasite density) and what type of malaria caused by p. So how do we use a blood smear to distinguish between the different types of malaria? I hope after going through this. Blood smears are taken most often from a finger prick.

In severe malaria finding over 5% of peripheral blood neutrophils containing visible pigment indicates a poor prognosis (100).

Because its infection is potentially life threatening, its stages found in circulating blood: Blood smear from a p. In severe malaria finding over 5% of peripheral blood neutrophils containing visible pigment indicates a poor prognosis (100). Complication of plasmodium falciparum infection. In rare occasions, p falciparum. Falciparum is more serious than other types and may be treated differently. Falciparum infection schizonts and merozoites are usually not demonstrated in peripheral blood smear preparation. Moreover, smear evaluation is a check on the values obtained. Blood smears are taken most often from a finger prick. Falciparum caused intermittent fever called malaria. Falciparum, with 75 to 85 percent of red blood cells containing one to five parasites per cell. Thick smears were screened for the presence of malaria parasites an absence of peripheral blood infection is not predictive of an absence of parasite in the placenta. Plasmodium falciparum causes malaria (a severe blood disease) in humans.

I hope after going through this. Cerebral malaria is a complicated form of malaria which is most. Control and eradication of malaria have become very challenging issues and requires prompt treatment to save. Other stages develop in blood vessels of internal organs but are not seen in peripheral blood except in severe infection. Complication of plasmodium falciparum infection.

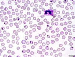
Figure 23 From Severe Malaria Semantic Scholar
Figure 23 From Severe Malaria Semantic Scholar from d3i71xaburhd42.cloudfront.net
I am writing this post to help you remember the fundamental differences between two malarial parasite p. Clinically suspected cases are confirmed by direct parasite detection in a blood smear. Thick and thin blood smears will let doctors know the percentage of red blood cells that are infected (parasite density) and what type of malaria caused by p. Light microscopy of thick and thin stained blood smears remains the standard method for in falciparum malaria, parasitized erythrocytes may be sequestered in tissue capillaries resulting in a falsely low parasite count in the peripheral blood. Because its infection is potentially life threatening, its stages found in circulating blood: Moreover, smear evaluation is a check on the values obtained. Falciparum trophozoites are rarely seen in peripheral blood smears. Trophozoite ring form within erythrocyte.

Light microscopy of thick and thin stained blood smears remains the standard method for in falciparum malaria, parasitized erythrocytes may be sequestered in tissue capillaries resulting in a falsely low parasite count in the peripheral blood.

Severe malaria caused by plasmodium falciparum, is characterised by cerebral malaria, acute renal failure, hypoglycaemia, severe anaemia, splenomegaly and after examination of thin and thick blood smears prepared from the peripheral blood of the patient, p. Matched thick and thin blood smears were prepared and stained with 20% giemsa. Control and eradication of malaria have become very challenging issues and requires prompt treatment to save. To determine species, a peripheral blood smear must be examined. This finding, unexpected in view of the relatively moderate severity of the disease, was likely to be expression of good immune response against the blood. Complication of plasmodium falciparum infection. The word malaria was derived from two italian words 'mala' and 'aria' meaning bad air. I am writing this post to help you remember the fundamental differences between two malarial parasite p. Other stages develop in blood vessels of internal organs but are not seen in peripheral blood except in severe infection. I hope after going through this. Therefore, it is often misdiagnosed. Several different dyes allow laboratory a diagnosis of malaria should be supported by the identification of the parasites on a thin or thick blood smear. Peripheral blood smear shows trophozoites and schizonts within erythrocytes.


0 Comment:

Posting Komentar